FACEM
Provenance Studies on Ancient Pottery in the Mediterranean
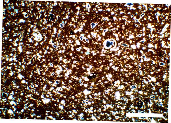
AKR-A-1, M 208/2, scale bar 0.2mm
AKR-A-1, M 208/2, scale bar 0.5mm
AKR-A-1, M 208/2, 25x
AKR-A-1, M 208/2, 16x
AKR-A-1, M 208/2, 8x
| | object data | | fabric description | | archaeometry | | petrography | | |
| sample no |
M 208/2 |
| fabric type |
AKR-A-1
|
| supposed site of production |
Agrigento / Akragas |
| sample taken |
May 2018, by Babette Bechtold, Institute of Classical Archaeology, Vienna University |
| |
Context Data
|
| site of discovery |
Agrigento / Akragas Area a Sud del Tempio di Zeus |
| interpretation of context |
sacred |
| registration code of context |
AG13/337 |
| registration code of object |
AG13/337/2 |
| chronology of context |
late 5th-4th c. BCE |
| |
Object
|
| ware |
Transport Amphorae |
| object form |
Amphora |
| object type |
Western Greek, Gassner rim 7 |
| chronology of object |
Greek-Late Classic first half 4th c. BC |
| fragmentation |
rim |
| dimensions |
diameter: 13cm (rim); height: 5cm |
| surface description |
slipped pale brown 2.5 Y 8/2 |
| drawing |
|
| | object data | | fabric description | | archaeometry | | petrography | | |
| |
Visual Examination of Fresh Break
|
| visual examination of fresh break |
Clay of reddish-yellow colour, very fine and depurated with no visible inclusions (rare of whitish colour) |
| colour of fresh break |
5 YR 6/6 |
| texture of fresh break |
fine |
| hardness |
hard |
| |
Observation Under the Binocular Stereoscope
(all lengths in mm)
|
| porosity |
void form: vughy (sporadic);channel; void length: 0.08-0.83 |
| inclusions |
length: 0.04-0.20-24 |
| sorting |
well sorted silt |
| |
Inclusions
(all lengths in mm)
|
|
calciumcarbonate |
infrequent, angular;subrounded, subelongate;spherical, white, 0.04-0.20-28 |
|
carbonate pseudomorphoses |
frequent, subangular;well rounded, very spherical, white-yellowish, 0.04-08-0.16 |
|
mica |
frequent |
|
quartz |
sporadic, angular;subrounded, spherical;very spherical, greyish-transparent-whitish, 0.04-0.12-16 |
|
reddish inclusions |
sporadic, subangular;subrounded, subspherical;very spherical, reddish-dark red, 0.08-0.20 |
| | object data | | fabric description | | archaeometry | | petrography | | |
| applied method for sample analysis |
thin section, chemical analysis |
| analysis author |
Montana/Randazzo |
| publication (of analysis) |
Montana et al. 2022, 2, tab. 1. |
| | object data | | fabric description | | archaeometry | | petrography | | |
| sample number |
M 208/2 |
| inventory number |
AG13/337/2 |
| name of author |
Giuseppe Montana - Luciana Randazzo |
| institution of author |
Department of Earth and Marine Sciences (DiSTeM) - University of Palermo |
| contact information of author |
giuseppe.montana@unipa.it; luciana.randazzo@unipa.it |
| |
Temper Grains
|
| |
Microstructure
|
| areal distribution |
homogeneous |
| packing (% area) |
high (20-30%) |
| size/granulometry (mm) |
prevalent:
very fine (0.04-0.1mm), fine (0.1-0.2mm)
common:
medium (0.2-0.5mm)
rare:
coarse (0.5-2mm)
|
| maximum grain size (mm) |
0.6 |
| sorting |
scarce-serial |
| roundness |
sub-angular |
| |
Composition
|
| minerals |
prevalent: Monocrystalline Quartz
common: Polycrystalline Quartz
rare: Orthoclase, Plagioclase, Muscovite, Accessory & Heavy Minerals (Glauconite, Iron oxides)
|
| other compositional/textural features |
frequent: Microfossils, Micritic Clots
|
| quartz grains |
sub-angular |
| |
Groundmass
|
| |
Texture
|
| texture |
moderately homogeneous patchy: sporadic |
| optical activity |
inactive |
| degree of sintering |
well sintered |
| |
Porosity
|
| voids/pores abundance (area) |
medium (10-30%) |
| voids/pores size |
common: small (0.01-0.1mm), medium (0.1-1mm), large (>1mm)
|
| voids/pores orientation |
none |
| voids/pores shape |
prevalent: irregular, cast
sporadic: rounded
|
| |
Newly Formed Phases
|
| newly formed phases |
frequent: secondary calcite
|
| |
Clay Composition
|
| clay composition |
ca-rich |
| |
Estimations from Microscopy/Interpretation
|
| |
Interpretation
|
| firing temperature |
well fired |
| refinement of raw clay |
acceptable |
| refinement of temper/clasts |
sieved natural sand |
| modelling technique/fabrication |
use of wheel |
Cite this page as: FACEM - http://facem.at/m-208-2